Kategorije
Pomozi mi pronaći
Upišite reč ili pojam koji tražite.
Anketa
Popularni tagovi
Zubni implantati Zubni implantati Ugradnja Titanijumski zubni Implantati zubni implantati cene zubni implantati cena
Zubni implantati

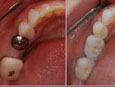
![]() Most na implantatimaMost na implantatima je isto što i običan most, osim što je postavljen direktno na implantatima a ne na prirodnom zubu, odnosno prirodnim zubima. Kada se postavlja most na implantatima, potrebno je da se po jedan implantat... 24 Novembar 2011 | 16:40 ![]() Implantacija zubaImplantacija zuba odnosi se na najsavremeniju hiruršku intervenciju, kojom se na mesto gde nedostaje zub, ugrađuje metalna nadoknada u obliku titanijumskog šrafa, kao zamena za prirodni zub. Svi implantati se prave... 24 Avgust 2011 | 23:19 ![]() Zubni implantati - implantologijaZubni implantati su pravo rešenje za vas ukoliko vam nedostaje jedan ili više zuba. Zubni implantati su poznati po tome da su veoma jaki čak jači i od prirodnih zuba, i da se svojim izgledom ni malo ne razlikuju od prirodnih zuba... 08 Jul 2011 | 12:10 ![]() Titanijumski zubni implantatiTitanijumski zubni implantati su veštački zubi koji na mestu korena imaju titanijumski šraf. Prilikom ugradnje implantata, u vilici se buši mala rupa kroz koju se titanijumski zubni implantat ušrafljuje u viličnu kost, sa kojom... 05 Maj 2011 | 17:16 ![]() Zubni implantati ugradnjaZubni implantati predstavljaju zamenu za pravi zub koji je izgubljen. Bez obzira da li vam nedostaje jedan ili nekoliko zuba, ugradnja zubnih implantata rešiće ovaj estetski problem. Ugradnja zubnih implantata je veoma efikasna... 05 Maj 2011 | 17:03 |